|
Background: |
Junctional complexes between the plasma membrane and endoplasmic/sarcoplasmic reticulum are a common feature of all excitable cell types and mediate cross talk between cell surface and intracellular ion channels. The protein encoded by this gene is a component of junctional complexes and is composed of a C-terminal hydrophobic segment spanning the endoplasmic/sarcoplasmic reticulum membrane and a remaining cytoplasmic domain that shows specific affinity for the plasma membrane. This gene is a member of the junctophilin gene family. Alternative splicing has been observed at this locus and two variants encoding distinct isoforms are described. |
|
Applications: |
ELISA, IHC |
|
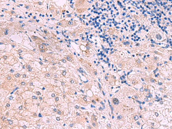
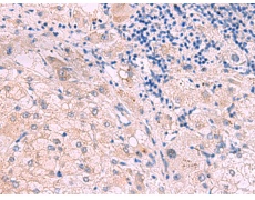
Name of antibody: |
JPH2 |
|
Immunogen: |
Synthetic peptide of human JPH2 |
|
Full name: |
junctophilin 2 |
|
Synonyms: |
JP2; JP-2; CMH17 |
|
SwissProt: |
Q9BR39 |
|
ELISA Recommended dilution: |
5000-10000 |
|
IHC positive control: |
Human liver cancer |
|
IHC Recommend dilution: |
25-100 |

購(gòu)物車(chē)
幫助
021-54845833/15800441009
