|
Background: |
Potassium channels represent the most complex class of voltage-gated ion channels from both functional and structural standpoints. Their diverse functions include regulating neurotransmitter release, heart rate, insulin secretion, neuronal excitability, epithelial electrolyte transport, smooth muscle contraction, and cell volume. Four sequence-related potassium channel genes - shaker, shaw, shab, and shal - have been identified in Drosophila, and each has been shown to have human homolog(s). This gene encodes a member of the potassium channel, voltage-gated, shaker-related subfamily. This member contains six membrane-spanning domains with a shaker-type repeat in the fourth segment. It is specifically regulated by cGMP and postulated to mediate the effects of substances that increase intracellular cGMP. This gene is intronless, and the gene is clustered with genes KCNA2 and KCNA3 on chromosome 1. |
|
Applications: |
ELISA, IHC |
|
Name of antibody: |
KCNA10 |
|
Immunogen: |
Synthetic peptide of human KCNA10 |
|
Full name: |
potassium voltage-gated channel subfamily A member 10 |
|
Synonyms: |
Kcn1; Kv1.8 |
|
SwissProt: |
Q16322 |
|
ELISA Recommended dilution: |
5000-10000 |
|
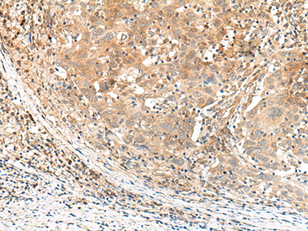
IHC positive control: |
Human cervical cancer |
|
IHC Recommend dilution: |
30-150 |

購物車
幫助
021-54845833/15800441009
