|
Background: |
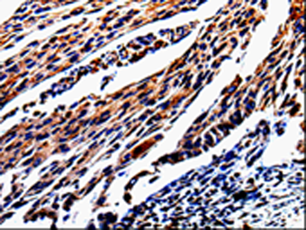
KLK3 is a member of the kallikrein-related peptidase family secreted by the epithelial cells of the prostate gland and lead to the liquefaction of the seminal coagulum. It is thought to function normally in the liquefaction of seminal coagulum, presumably by hydrolysis of the high molecular mass seminal vesicle protein. Serum level of this protein, called PSA in the clinical setting, is useful in the diagnosis and monitoring of prostatic carcinoma. |
|
Applications: |
ELISA, IHC |
|
Name of antibody: |
KLK3 |
|
Immunogen: |
Fusion protein of human KLK3 |
|
Full name: |
Kallikrein-3 |
|
Synonyms: |
APS, PSA |
|
SwissProt: |
P07288 |
|
ELISA Recommended dilution: |
500-2000 |
|
IHC positive control: |
Human cervical cancer and human lung cancer |
|
IHC Recommend dilution: |
25-50 |

購物車
幫助
021-54845833/15800441009
