中文名稱: 兔抗GADL1多克隆抗體
|
Background: |
May catalyze the decarboxylation of aspartate, cysteine sulfinic acid, and cysteic acid to beta-alanine, hypotaurine and taurine, respectively. Does not exhibit any decarboxylation activity toward glutamate. |
|
Applications: |
ELISA, WB, IHC |
|
Name of antibody: |
GADL1 |
|
Immunogen: |
Synthetic peptide of human GADL1 |
|
Full name: |
glutamate decarboxylase like 1 |
|
Synonyms: |
ADC; CSADC; HuADC; HuCSADC |
|
SwissProt: |
Q6ZQY3 |
|
ELISA Recommended dilution: |
5000-10000 |
|
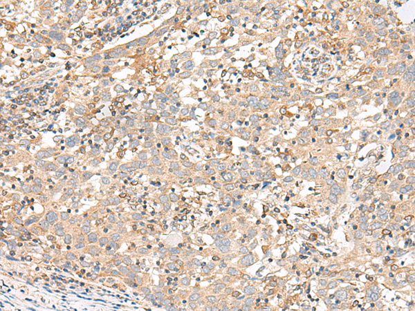
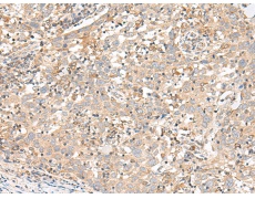
IHC positive control: |
Human cervical cancer |
|
IHC Recommend dilution: |
30-150 |
|
WB Predicted band size: |
59 kDa |
|
WB Positive control: |
293T and K562 cell lysates |
|
WB Recommended dilution: |
200-1000 |


購物車
幫助
021-54845833/15800441009
