|
Background: |
Phosphatidylinositol 3-kinase (PI3K) is a lipid kinase that phosphorylates phosphatidylinositol and similar compounds, creating second messengers important in growth signaling pathways. PI3K functions as a heterodimer of a regulatory and a catalytic subunit. The protein encoded by this gene is a regulatory component of PI3K. Two transcript variants, one protein coding and the other non-protein coding, have been found for this gene. |
|
Applications: |
WB |
|
Name of antibody: |
PIK3R2 |
|
Immunogen: |
Fusion protein of human PIK3R2 |
|
Full name: |
phosphoinositide-3-kinase regulatory subunit 2 |
|
Synonyms: |
p85; MPPH; P85B; MPPH1; p85-BETA |
|
SwissProt: |
O00459 |
|
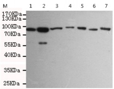
WB Predicted band size: |
82 kDa |
|
WB Positive control: |
C6, K562, MCF7, U87MG, HCT116, 3T3 and Hela cell lysates |
|
WB Recommended dilution: |
1000-5000 |
購物車
幫助
021-54845833/15800441009
