中文名稱:兔抗AFF1多克隆抗體
|
Background: |
A chromosomal aberration involving AFF1 is associated with acute leukemias. Translocation t(4;11)(q21;q23) with MLL/HRX. The result is a rogue activator protein. Belongs to the AF4 family. |
|
Applications: |
IHC |
|
Name of antibody: |
AFF1 |
|
Immunogen: |
Synthesized peptide derived from N-terminal of human AF4. |
|
Full name: |
AF4/FMR2 family, member 1 |
|
Synonyms: |
AF4; PBM1; MLLT2 |
|
SwissProt: |
P51825 |
|
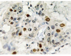
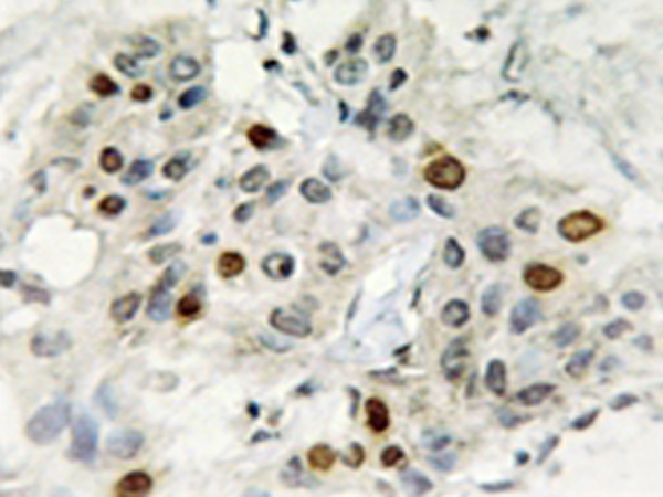
IHC positive control: |
Human breast carcinoma tissue |
|
IHC Recommend dilution: |
50-100 |
購物車
幫助
021-54845833/15800441009
