中文名稱:兔抗AGAP3多克隆抗體
|
Background: |
This gene encodes an essential component of the N-methyl-D-aspartate (NMDA) receptor signaling complex which mediates long-term potentiation in synapses by linking activation of NMDA receptor to alpha-amino-3-hydroxy-5-methyl-4-isoxazolepropionic acid (AMPA) receptor trafficking. The encoded protein contains an N-terminal GTPase-like domain, a pleckstrin homology domain, an ArfGAP domain and several C-terminal ankryn repeat domains. |
|
Applications: |
ELISA, IHC |
|
Name of antibody: |
AGAP3 |
|
Immunogen: |
Synthetic peptide of human AGAP3 |
|
Full name: |
ArfGAP with GTPase domain, ankyrin repeat and PH domain 3 |
|
Synonyms: |
CRAG; AGAP-3; CENTG3; MRIP-1; cnt-g3 |
|
SwissProt: |
Q96P47 |
|
ELISA Recommended dilution: |
5000-10000 |
|
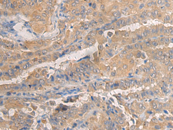
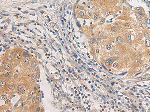
IHC positive control: |
Human thyroid cancer and Human breast cancer |
|
IHC Recommend dilution: |
50-100 |
購物車
幫助
021-54845833/15800441009
