|
Background: |
This gene encodes a protein that sorts transmembrane proteins into lysosomes/vacuoles via the multivesicular body (MVB) pathway. This protein, along with other soluble coiled-coil containing proteins, forms part of the ESCRT-III protein complex that binds to the endosomal membrane and recruits additional cofactors for protein sorting into the MVB. This protein may also co-immunoprecipitate with a member of the IFG-binding protein superfamily. Alternative splicing results in multiple transcript variants. Read-through transcription also exists between this gene and the upstream ring finger protein 103 (RNF103) gene. |
|
Applications: |
ELISA, IHC |
|
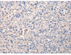
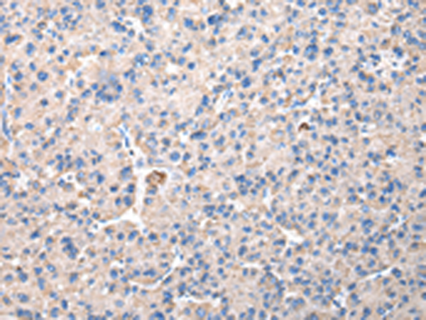
Name of antibody: |
CHMP3 |
|
Immunogen: |
Full length fusion protein |
|
Full name: |
charged multivesicular body protein 3 |
|
Synonyms: |
NEDF; VPS24; CGI-149 |
|
SwissProt: |
Q9Y3E7 |
|
ELISA Recommended dilution: |
2000-5000 |
|
IHC positive control: |
Human liver cancer and Human lung cancer |
|
IHC Recommend dilution: |
25-100 |
購(gòu)物車
幫助
021-54845833/15800441009
