中文名稱: 兔抗GEMIN4多克隆抗體
|
Background: |
The product of this gene is part of a large complex localized to the cytoplasm, nucleoli, and to discrete nuclear bodies called Gemini bodies (gems). The complex functions in spliceosomal snRNP assembly in the cytoplasm, and regenerates spliceosomes required for pre-mRNA splicing in the nucleus. The encoded protein directly interacts with a DEAD box protein and several spliceosome core proteins. Alternatively spliced transcript variants have been described, but their biological validity has not been determined. |
|
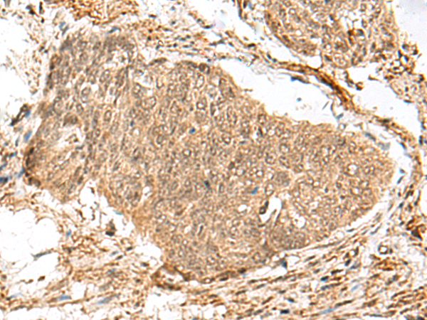
Applications: |
ELISA, IHC |
|
Name of antibody: |
GEMIN4 |
|
Immunogen: |
Synthetic peptide of human GEMIN4 |
|
Full name: |
gem nuclear organelle associated protein 4 |
|
Synonyms: |
p97; HC56; HCAP1; HHRF-1 |
|
SwissProt: |
P57678 |
|
ELISA Recommended dilution: |
5000-10000 |
|
IHC positive control: |
Human liver cancer and Human esophagus cancer |
|
IHC Recommend dilution: |
30-150 |


購物車
幫助
021-54845833/15800441009
