中文名稱:兔抗CLTCL1多克隆抗體
|
Background: |
This gene is a member of the clathrin heavy chain family and encodes a major protein of the polyhedral coat of coated pits and vesicles. Chromosomal aberrations involving this gene are associated with meningioma, DiGeorge syndrome, and velo-cardio-facial syndrome. Multiple transcript variants encoding different isoforms have been found for this gene. |
|
Applications: |
ELISA, IHC |
|
Name of antibody: |
CLTCL1 |
|
Immunogen: |
Synthetic peptide of human CLTCL1 |
|
Full name: |
clathrin heavy chain like 1 |
|
Synonyms: |
CLTD; CHC22; CLH22; CLTCL |
|
SwissProt: |
P53675 |
|
ELISA Recommended dilution: |
5000-10000 |
|
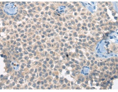
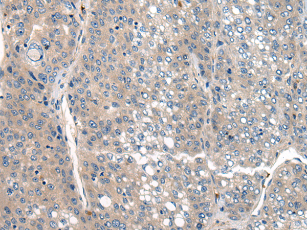
IHC positive control: |
Human liver cancer and human ovarian cancer |
|
IHC Recommend dilution: |
40-200 |

購物車
幫助
021-54845833/15800441009
