|
Background: |
The protein encoded by this gene is a member of the immunoglobulin superfamily. It is a glycosylphosphatidylinositol (GPI)-anchored neuronal membrane protein that functions as a cell adhesion molecule. It may play a role in the formation of axon connections in the developing nervous system. Multiple alternatively spliced transcript variants encoding different isoforms have been found for this gene. |
|
Applications: |
ELISA, WB, IHC |
|
Name of antibody: |
CNTN1 |
|
Immunogen: |
Synthetic peptide of human CNTN1 |
|
Full name: |
contactin 1 |
|
Synonyms: |
F3; GP135; MYPCN |
|
SwissProt: |
Q12860 |
|
ELISA Recommended dilution: |
5000-10000 |
|
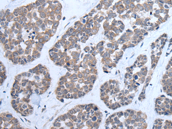
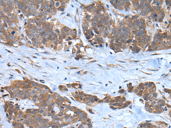
IHC positive control: |
Human thyroid cancer and Human esophagus cancer |
|
IHC Recommend dilution: |
25-100 |
|
WB Predicted band size: |
113 kDa |
|
WB Positive control: |
Human cerebella tissue, Human cerebrum tissue, Human fetal brain tissue, Mouse brain tissue , Rat brain tissue lysates |
|
WB Recommended dilution: |
500-2000 |


購(gòu)物車
幫助
021-54845833/15800441009
