中文名稱:兔抗CPNE8多克隆抗體
|
Background: |
Calcium-dependent membrane-binding proteins may regulate molecular events at the interface of the cell membrane and cytoplasm. This gene is one of several genes that encode a calcium-dependent protein containing two N-terminal type II C2 domains and an integrin A domain-like sequence in the C-terminus. |
|
Applications: |
ELISA, IHC |
|
Name of antibody: |
CPNE8 |
|
Immunogen: |
Fusion protein of human CPNE8 |
|
Full name: |
copine 8 |
|
SwissProt: |
Q86YQ8 |
|
ELISA Recommended dilution: |
5000-10000 |
|
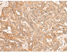
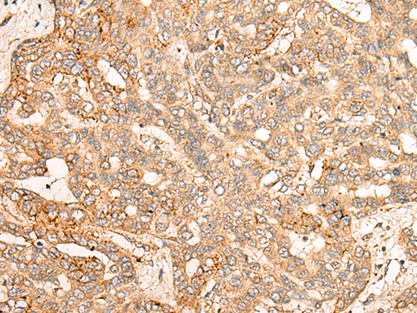
IHC positive control: |
Human liver cancer |
|
IHC Recommend dilution: |
25-100 |
購物車
幫助
021-54845833/15800441009
