|
Background: |
This gene encodes a membrane protein that functions as part of a receptor complex for a small neuropeptide that increases intracellular cAMP levels. Alternate transcriptional splice variants, encoding different isoforms, have been characterized. |
|
Applications: |
ELISA, IHC |
|
Name of antibody: |
CRCP |
|
Immunogen: |
Fusion protein of human CRCP |
|
Full name: |
CGRP receptor component |
|
Synonyms: |
RCP; RCP9; RPC9; CGRPRCP; CGRP-RCP |
|
SwissProt: |
O75575 |
|
ELISA Recommended dilution: |
5000-10000 |
|
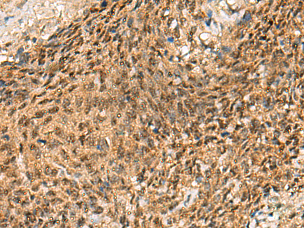
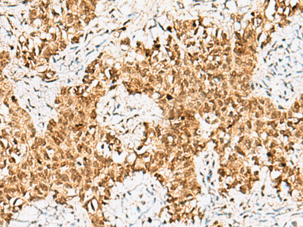
IHC positive control: |
Human ovarian cancer and Human cervical cancer |
|
IHC Recommend dilution: |
50-200 |

購(gòu)物車
幫助
021-54845833/15800441009
