中文名稱(chēng): 兔抗GJC2多克隆抗體
相關(guān)類(lèi)別: 一抗
|
Background: |
This gene encodes a gap junction protein. Gap junction proteins are members of a large family of homologous connexins and comprise 4 transmembrane, 2 extracellular, and 3 cytoplasmic domains. This gene plays a key role in central myelination and is involved in peripheral myelination in humans. Defects in this gene are the cause of autosomal recessive Pelizaeus-Merzbacher-like disease-1. |
|
Applications: |
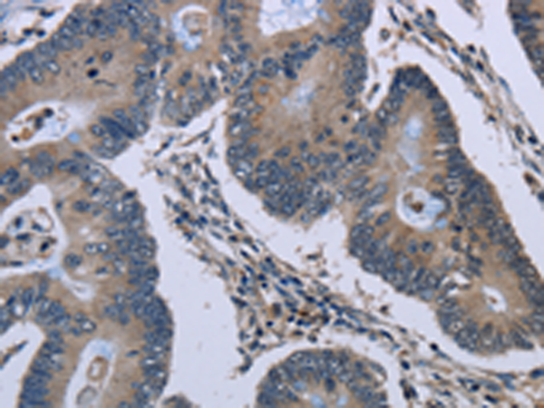
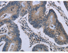
ELISA, IHC |
|
Name of antibody: |
GJC2 |
|
Immunogen: |
Synthetic peptide of human GJC2 |
|
Full name: |
gap junction protein, gamma 2, 47kDa |
|
Synonyms: |
Cx47, HLD2, GJA12, SPG44, CX46.6, LMPH1C, PMLDAR |
|
SwissProt: |
Q5T442 |
|
ELISA Recommended dilution: |
2000-5000 |
|
IHC positive control: |
Human colon cancer and Human thyroid cancer |
|
IHC Recommend dilution: |
50-200 |

購(gòu)物車(chē)
幫助
021-54845833/15800441009
