|
Background: |
The cytogenetic location of this gene is 3p21.3, and it is located in a region that is commonly deleted in a variety of malignancies. Down-regulation of this gene has been observed in several human cancers including lung, esophageal, renal tumors, and head and neck squamous cell carcinoma. In some cases, reduced expression of this gene in tumor cells is a result of aberrant promoter methylation. Several alternatively spliced transcripts have been observed that contain disrupted coding regions and likely encode nonfunctional proteins. |
|
Applications: |
ELISA, IHC |
|
Name of antibody: |
DLEC1 |
|
Immunogen: |
Synthetic peptide corresponding to a region derived from 1727-1743 amino acids of human DLEC1 |
|
Full name: |
deleted in lung and esophageal cancer 1 |
|
Synonyms: |
F56; DLC1; DLC-1; CFAP81 |
|
SwissProt: |
Q9Y238 |
|
ELISA Recommended dilution: |
5000-10000 |
|
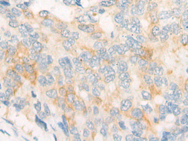
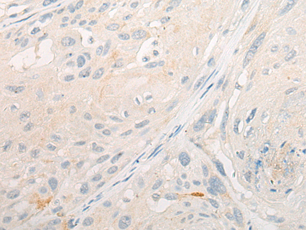
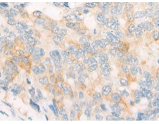
IHC Positive control: |
Human esophagus cancer;Human colorectal cancer |
|
IHC Recommended dilution: |
10-50 |

購物車
幫助
021-54845833/15800441009
