|
Background: |
This gene encodes a member of the delta protein ligand family. This family functions as Notch ligands that are characterized by a DSL domain, EGF repeats, and a transmembrane domain. Mutations in this gene cause autosomal recessive spondylocostal dysostosis 1. Two transcript variants encoding distinct isoforms have been identified for this gene. |
|
Applications: |
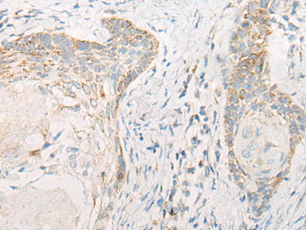
ELISA, IHC |
|
Name of antibody: |
DLL3 |
|
Immunogen: |
Synthetic peptide of human DLL3 |
|
Full name: |
delta like canonical Notch ligand 3 |
|
Synonyms: |
SCDO1 |
|
SwissProt: |
Q9NYJ7 |
|
ELISA Recommended dilution: |
5000-10000 |
|
IHC positive control: |
Human esophagus cancer;Human prostate cancer |
|
IHC Recommend dilution: |
20-100 |

購(gòu)物車
幫助
021-54845833/15800441009
