|
Background: |
Elk-1 is a member of the Ets family of transcription factors and of the ternary complex factor (TCF) subfamily. Proteins of the TCF subfamily form a ternary complex by binding to the the serum response factor and the serum reponse element in the promoter of the c-fos proto-oncogene. The protein encoded by this gene is a nuclear target for the ras-raf-MAPK signaling cascade. Alternatively spliced transcript variants encoding the same protein have been found for this gene |
|
Applications: |
WB, IHC |
|
Name of antibody: |
ELK1 (Phospho-Ser389) |
|
Immunogen: |
Synthetic peptide of human ELK1 (Phospho-Ser389) |
|
Full name: |
ELK1, member of ETS oncogene family (Phospho-Ser389) |
|
SwissProt: |
P19419 |
|
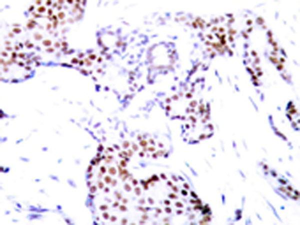
IHC positive control: |
Human breast carcinoma |
|
IHC Recommend dilution: |
50-100 |
|
WB Predicted band size: |
45 kDa |
|
WB Positive control: |
HT29 cells untreated or treated with Anisomycin |
|
WB Recommended dilution: |
500-1000 |

購(gòu)物車
幫助
021-54845833/15800441009
