|
Background: |
Transcription factor, which in cooperation with EMX2, acts to generate the boundary between the roof and archipallium in the developing brain. May function in combinations with OTX1/2 to specify cell fates in the developing central nervous system. |
|
Applications: |
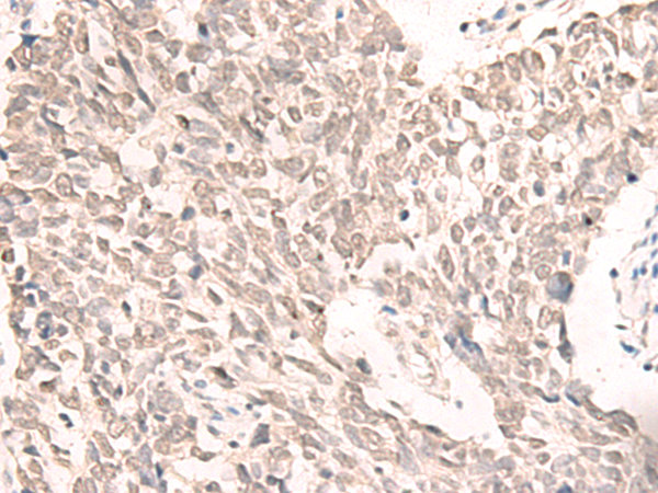
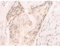
ELISA, IHC |
|
Name of antibody: |
EMX1 |
|
Immunogen: |
Synthetic peptide of human EMX1 |
|
Full name: |
empty spiracles homeobox 1 |
|
SwissProt: |
Q04741 |
|
ELISA Recommended dilution: |
5000-10000 |
|
IHC positive control: |
Human lung cancer and Human esophagus cancer |
|
IHC Recommend dilution: |
30-150 |

購(gòu)物車
幫助
021-54845833/15800441009
