|
Background: |
This gene encodes a protein that interacts with calmodulin and several transient receptor potential canonical cation channel proteins. The encoded protein may function as an adaptor to localize signal transduction machinery to calcium channels. Alternative splicing results in multiple transcript variants. |
|
Applications: |
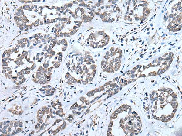
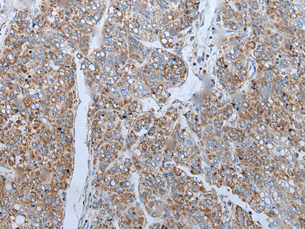
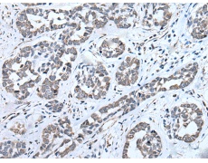
ELISA, IHC |
|
Name of antibody: |
ENKUR |
|
Immunogen: |
Synthetic peptide of human ENKUR |
|
Full name: |
enkurin, TRPC channel interacting protein |
|
Synonyms: |
CFAP106; C10orf63 |
|
SwissProt: |
Q8TC29 |
|
ELISA Recommended dilution: |
5000-10000 |
|
IHC positive control: |
Human liver cancer |
|
IHC Recommend dilution: |
25-100 |

購物車
幫助
021-54845833/15800441009
