中文名稱: 兔抗UBE2V2多克隆抗體
|
Background: |
Ubiquitin-conjugating enzyme E2 variant proteins constitute a distinct subfamily within the E2 protein family. They have sequence similarity to other ubiquitin-conjugating enzymes but lack the conserved cysteine residue that is critical for the catalytic activity of E2s. The protein encoded by this gene also shares homology with ubiquitin-conjugating enzyme E2 variant 1 and yeast MMS2 gene product. It may be involved in the differentiation of monocytes and enterocytes. |
|
Applications: |
ELISA, WB, IHC |
|
Name of antibody: |
UBE2V2 |
|
Immunogen: |
Full length fusion protein |
|
Full name: |
ubiquitin conjugating enzyme E2 variant 2 |
|
Synonyms: |
MMS2; UEV2; EDPF1; UEV-2; DDVIT1; EDAF-1; EDPF-1; DDVit-1 |
|
SwissProt: |
Q15819 |
|
ELISA Recommended dilution: |
5000-10000 |
|
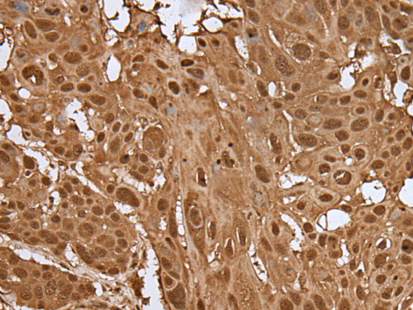
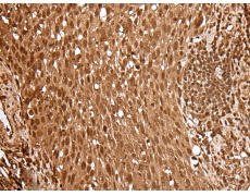
IHC positive control: |
Human lung cancer and human esophagus cancer |
|
IHC Recommend dilution: |
25-100 |
|
WB Predicted band size: |
16 kDa |
|
WB Positive control: |
K562,Jurkat and A375 cell, Human fetal brain tissue lysates |
|
WB Recommended dilution: |
200-1000 |


購(gòu)物車
幫助
021-54845833/15800441009
