|
Background: |
This gene encodes an estrogen receptor, a ligand-activated transcription factor composed of several domains important for hormone binding, DNA binding, and activation of transcription. The protein localizes to the nucleus where it may form a homodimer or a heterodimer with estrogen receptor 2. Estrogen and its receptors are essential for sexual development and reproductive function, but also play a role in other tissues such as bone. Estrogen receptors are also involved in pathological processes including breast cancer, endometrial cancer, and osteoporosis. Alternative splicing results in several transcript variants, which differ in their 5' UTRs and use different promoters. |
|
Applications: |
WB, IHC |
|
Name of antibody: |
ESR1 (Phospho-Ser104) |
|
Immunogen: |
Synthetic peptide of human ESR1 (Phospho-Ser104) |
|
Full name: |
estrogen receptor 1 (Phospho-Ser104) |
|
Synonyms: |
ER; ESR; ESR1; ESTR; ESTRA; Era; ESRA; NR3A1 |
|
SwissProt: |
P03372 |
|
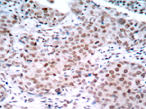
IHC positive control: |
Human breast carcinoma |
|
IHC Recommend dilution: |
50-100 |
|
WB Predicted band size: |
66 kDa |
|
WB Positive control: |
MCF-7 cells treated with E2 and EGF |
|
WB Recommended dilution: |
500-1000 |

購物車
幫助
021-54845833/15800441009
