|
Background: |
The protein encoded by this gene is a member of the fibroblast growth factor (FGF) family. FGF family members possess broad mitogenic and cell survival activities and are involved in a variety of biological processes including embryonic development, cell growth, morphogenesis, tissue repair, tumor growth and invasion. The function of this growth factor has not yet been determined. |
|
Applications: |
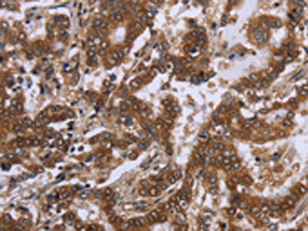
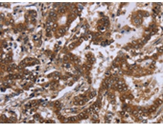
ELISA, IHC |
|
Name of antibody: |
FGF21 |
|
Immunogen: |
Fusion protein of human FGF21 |
|
Full name: |
fibroblast growth factor 21 |
|
SwissProt: |
Q9NSA1 |
|
ELISA Recommended dilution: |
1000-2000 |
|
IHC positive control: |
Human liver cancer and human brain |
|
IHC Recommend dilution: |
25-100 |

購物車
幫助
021-54845833/15800441009
