中文名稱: 兔抗UGT8多克隆抗體
|
Background: |
The protein encoded by this gene belongs to the UDP-glycosyltransferase family. It catalyzes the transfer of galactose to ceramide, a key enzymatic step in the biosynthesis of galactocerebrosides, which are abundant sphingolipids of the myelin membrane of the central and peripheral nervous systems. Alternatively spliced transcript variants have been found for this gene. |
|
Applications: |
ELISA, IHC |
|
Name of antibody: |
UGT8 |
|
Immunogen: |
Synthetic peptide of human UGT8 |
|
Full name: |
UDP glycosyltransferase 8 |
|
Synonyms: |
CGT; UGT4 |
|
SwissProt: |
Q16880 |
|
ELISA Recommended dilution: |
5000-10000 |
|
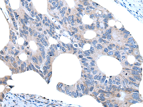
IHC positive control: |
Human tonsil |
|
IHC Recommend dilution: |
30-150 |

購(gòu)物車
幫助
021-54845833/15800441009
