|
Background: |
This gene is thought to encode a GDP-mannose pyrophosphorylase. The encoded protein catalyzes the conversion of mannose-1-phosphate and GTP to GDP-mannose, a reaction involved in the production of N-linked oligosaccharides. Alternatively spliced transcript variants encoding distinct isoforms have been described. |
|
Applications: |
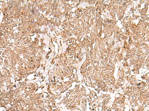
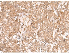
ELISA, IHC |
|
Name of antibody: |
GMPPB |
|
Immunogen: |
Fusion protein of human GMPPB |
|
Full name: |
GDP-mannose pyrophosphorylase B |
|
Synonyms: |
MDDGA14; MDDGB14; MDDGC14 |
|
SwissProt: |
Q9Y5P6 |
|
ELISA Recommended dilution: |
5000-10000 |
|
IHC positive control: |
Human lung cancer |
|
IHC Recommend dilution: |
50-300 |

購物車
幫助
021-54845833/15800441009
