|
Background: |
The Golgi apparatus, which participates in glycosylation and transport of proteins and lipids in the secretory pathway, consists of a series of stacked cisternae (flattened membrane sacs). Interactions between the Golgi and microtubules are thought to be important for the reorganization of the Golgi after it fragments during mitosis. This gene encodes one of the golgins, a family of proteins localized to the Golgi. This protein is a coiled-coil membrane protein that has been postulated to play a role in vesicle tethering and docking. Translocations involving this gene and the ret proto-oncogene have been found in tumor tissues; the chimeric sequences have been designated RET-II and PTC5. A pseudogene of this gene is located on the short arm of chromosome 5. |
|
Applications: |
ELISA, WB, IHC |
|
Name of antibody: |
GOLGA5 |
|
Immunogen: |
Synthetic peptide of human GOLGA5 |
|
Full name: |
golgin A5 |
|
Synonyms: |
RFG5; GOLIM5; ret-II |
|
SwissProt: |
Q8TBA6 |
|
ELISA Recommended dilution: |
5000-10000 |
|
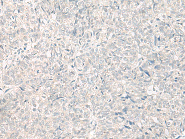
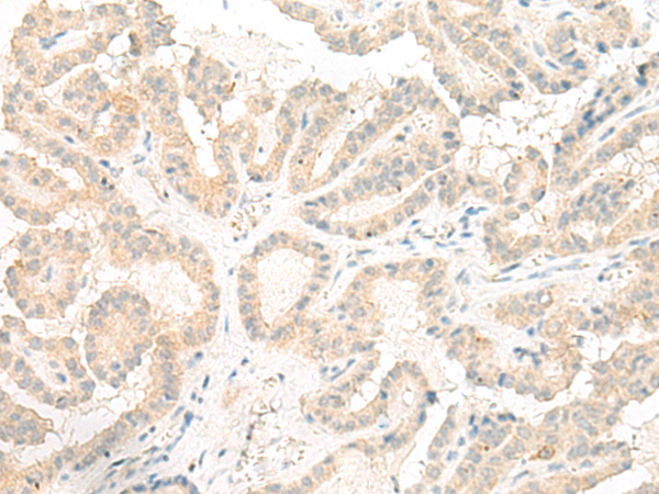
IHC positive control: |
Human thyroid cancer and Human ovarian cancer |
|
IHC Recommend dilution: |
20-100 |
|
WB Predicted band size: |
83 kDa |
|
WB Positive control: |
A549 cell lysate |
|
WB Recommended dilution: |
200-1000 |


購物車
幫助
021-54845833/15800441009
