|
Background: |
The glycoprotein encoded by this gene is a cell surface antigen that is expressed in greater than 95% of human colon cancers. The open reading frame encodes a 319-amino acid polypeptide having a putative secretory signal sequence and 3 potential glycosylation sites. The predicted mature protein has a 213-amino acid extracellular region, a single transmembrane domain, and a 62-amino acid intracellular tail. The sequence of the extracellular region contains 2 domains characteristic of the CD2 subgroup of the immunoglobulin (Ig) superfamily. |
|
Applications: |
ELISA, IHC |
|
Name of antibody: |
GPA33 |
|
Immunogen: |
Fusion protein of human GPA33 |
|
Full name: |
glycoprotein A33 (transmembrane) |
|
Synonyms: |
A33 |
|
SwissProt: |
Q99795 |
|
ELISA Recommended dilution: |
2000-5000 |
|
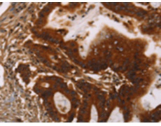
IHC positive control: |
Human colon cancer and human gastric cancer |
|
IHC Recommend dilution: |
50-200 |

購物車
幫助
021-54845833/15800441009
