中文名稱(chēng):兔抗GRIN2D多克隆抗體
|
Background: |
N-methyl-D-aspartate (NMDA) receptors are a class of ionotropic glutamate receptors. NMDA channel has been shown to be involved in long-term potentiation, an activity-dependent increase in the efficiency of synaptic transmission thought to underlie certain kinds of memory and learning. NMDA receptor channels are heteromers composed of the key receptor subunit NMDAR1 (GRIN1) and 1 or more of the 4 NMDAR2 subunits: NMDAR2A (GRIN2A), NMDAR2B (GRIN2B), NMDAR2C (GRIN2C), and NMDAR2D (GRIN2D). |
|
Applications: |
ELISA, IHC |
|
Name of antibody: |
GRIN2D |
|
Immunogen: |
Synthetic peptide of human GRIN2D |
|
Full name: |
glutamate receptor, ionotropic, N-methyl D-aspartate 2D |
|
Synonyms: |
EB11, NR2D, GluN2D, NMDAR2D |
|
SwissProt: |
O15399 |
|
ELISA Recommended dilution: |
1000-2000 |
|
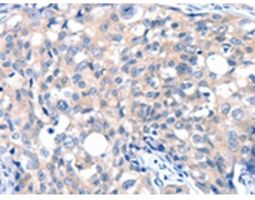
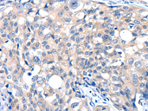
IHC positive control: |
Human breast cancer and Human ovarian cancer |
|
IHC Recommend dilution: |
15-50 |
購(gòu)物車(chē)
幫助
021-54845833/15800441009
