|
Background: |
This gene encodes a transmembrane protein belonging to the the SLITRK family. These family members include two N-terminal leucine-rich repeat domains similar to those found in the axonal growth-controlling protein SLIT, as well as C-terminal regions similar to neurotrophin receptors. Studies of an homologous protein in mouse suggest that this family member functions to suppress neurite outgrowth. Alternative splicing results in multiple transcript variants. |
|
Applications: |
ELISA, WB, IHC |
|
Name of antibody: |
SLITRK4 |
|
Immunogen: |
Fusion protein of human SLITRK4 |
|
Full name: |
SLIT and NTRK-like family, member 4 |
|
SwissProt: |
Q8IW52 |
|
ELISA Recommended dilution: |
1000-2000 |
|
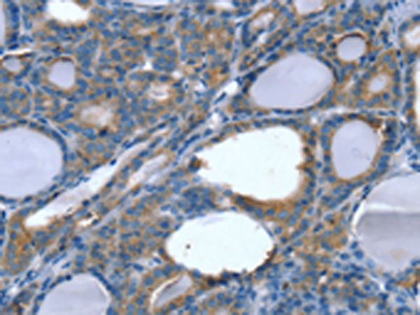
IHC positive control: |
Human thyroid cancer |
|
IHC Recommend dilution: |
10-50 |
|
WB Predicted band size: |
94 kDa |
|
WB Positive control: |
PC3 cells |
|
WB Recommended dilution: |
200-1000 |

購物車
幫助
021-54845833/15800441009
