|
Background: |
The mammalian sperm flagellum contains two cytoskeletal structures associated with the axoneme: the outer dense fibers surrounding the axoneme in the midpiece and principal piece and the fibrous sheath surrounding the outer dense fibers in the principal piece of the tail. Defects in these structures are associated with abnormal tail morphology, reduced sperm motility, and infertility. In the rat, the protein encoded by this gene associates with an outer dense fiber protein via a leucine zipper motif and localizes to the microtubules of the manchette and axoneme during sperm tail development. Alternative splicing results in multiple transcript variants encoding different isoforms. |
|
Applications: |
ELISA, WB, IHC |
|
Name of antibody: |
SPAG4 |
|
Immunogen: |
Synthetic peptide of human SPAG4 |
|
Full name: |
sperm associated antigen 4 |
|
Synonyms: |
SUN4; CT127 |
|
SwissProt: |
Q9NPE6 |
|
ELISA Recommended dilution: |
5000-10000 |
|
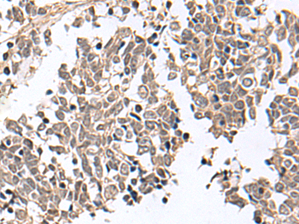
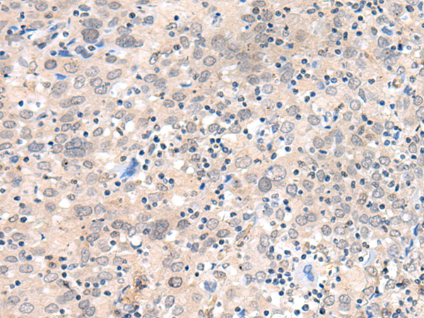
IHC positive control: |
Human cervical cancer and Human lung cancer |
|
IHC Recommend dilution: |
25-100 |
|
WB Predicted band size: |
48 kDa |
|
WB Positive control: |
Human bladder transitional cell carcinoma grade 2-3 tissue lysate |
|
WB Recommended dilution: |
200-1000 |


購物車
幫助
021-54845833/15800441009
