|
Background: |
This gene is a member of the SCC3 family and is expressed in the nucleus. It encodes a component of cohesin, a multisubunit protein complex that provides sister chromatid cohesion along the length of a chromosome from DNA replication through prophase and prometaphase, after which it is dissociated in preparation for segregation during anaphase. |
|
Applications: |
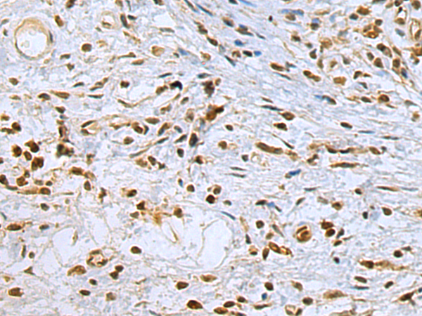
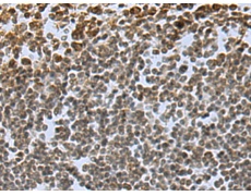
ELISA, IHC |
|
Name of antibody: |
STAG1 |
|
Immunogen: |
Fusion protein of human STAG1 |
|
Full name: |
stromal antigen 1 |
|
Synonyms: |
SA1; MRD47; SCC3A |
|
SwissProt: |
Q8WVM7 |
|
ELISA Recommended dilution: |
5000-10000 |
|
IHC positive control: |
Human esophagus cancer and Human tonsil |
|
IHC Recommend dilution: |
50-200 |

購物車
幫助
021-54845833/15800441009
