|
Background: |
The protein encoded by this gene is a transformation and shape-change sensitive actin cross-linking/gelling protein found in fibroblasts and smooth muscle. Its expression is down-regulated in many cell lines, and this down-regulation may be an early and sensitive marker for the onset of transformation. A functional role of this protein is unclear. Two transcript variants encoding the same protein have been found for this gene. |
|
Applications: |
ELISA, IHC |
|
Name of antibody: |
TAGLN |
|
Immunogen: |
Fusion protein of human TAGLN |
|
Full name: |
transgelin |
|
Synonyms: |
SM22; SMCC; TAGLN1; WS3-10 |
|
SwissProt: |
Q01995 |
|
ELISA Recommended dilution: |
2000-5000 |
|
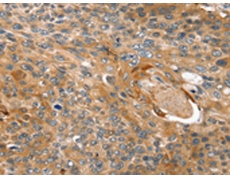
IHC positive control: |
Human esophagus cancer |
|
IHC Recommend dilution: |
25-100 |
購(gòu)物車
幫助
021-54845833/15800441009
