|
Background: |
This gene encodes a HTLV-1 tax1 binding protein. The encoded protein interacts with TNFAIP3, and inhibits TNF-induced apoptosis by mediating the TNFAIP3 anti-apoptotic activity. Degradation of this protein by caspase-3-like family proteins is associated with apoptosis induced by TNF. This protein may also have a role in the inhibition of inflammatory signaling pathways. Alternatively spliced transcript variants encoding different isoforms have been found for this gene.[ |
|
Applications: |
ELISA, IHC |
|
Name of antibody: |
TAX1BP1 |
|
Immunogen: |
Fusion protein of human TAX1BP1 |
|
Full name: |
Tax1 (human T-cell leukemia virus type I) binding protein 1 |
|
Synonyms: |
T6BP; TXBP151; CALCOCO3 |
|
SwissProt: |
Q86VP1 |
|
ELISA Recommended dilution: |
3000-10000 |
|
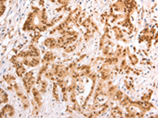
IHC positive control: |
Human colon cancer and human esophagus cancer |
|
IHC Recommend dilution: |
100-300 |
購(gòu)物車(chē)
幫助
021-54845833/15800441009
