|
Background: |
This gene encodes a member of the TALE/TGIF homeobox family of transcription factors. Testis-specific expression suggests that this gene may play a role in spermatogenesis. A homolog of this gene lies within the male specific region of chromosome Y, in a block of sequence that is thought to be the result of a large X-to-Y transposition. |
|
Applications: |
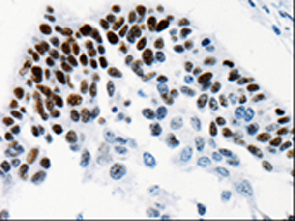
ELISA, IHC |
|
Name of antibody: |
TGIF2LX |
|
Immunogen: |
Fusion protein of human TGIF2LX |
|
Full name: |
TGFB-induced factor homeobox 2-like, X-linked |
|
Synonyms: |
TGIFLX |
|
SwissProt: |
Q8IUE1 |
|
ELISA Recommended dilution: |
500-5000 |
|
IHC positive control: |
Human cervical cancer |
|
IHC Recommend dilution: |
25-100 |
購物車
幫助
021-54845833/15800441009
