|
Background: |
The product encoded by this gene is a member of a RNA-binding protein family and possesses nucleolytic activity against cytotoxic lymphocyte (CTL) target cells. It has been suggested that this protein may be involved in the induction of apoptosis as it preferentially recognizes poly(A) homopolymers and induces DNA fragmentation in CTL targets. The major granule-associated species is a 15-kDa protein that is thought to be derived from the carboxyl terminus of the 40-kDa product by proteolytic processing. Alternative splicing resulting in different isoforms of this gene product has been described in the literature. |
|
Applications: |
ELISA, WB, IHC |
|
Name of antibody: |
TIA1 |
|
Immunogen: |
Full length fusion protein |
|
Full name: |
TIA1 cytotoxic granule-associated RNA binding protein |
|
Synonyms: |
WDM; TIA-1 |
|
SwissProt: |
P31483 |
|
ELISA Recommended dilution: |
5000-10000 |
|
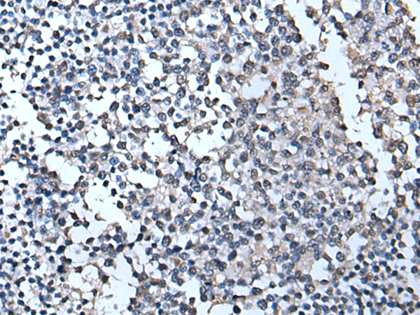
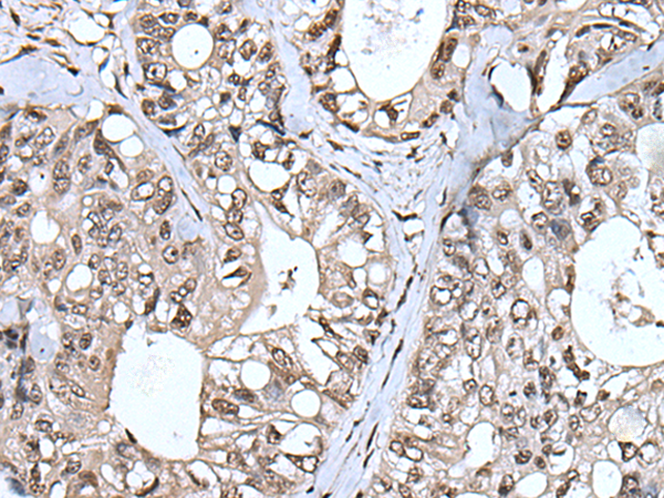
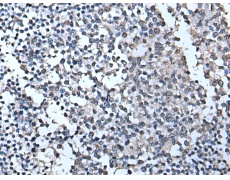
IHC positive control: |
Human colorectal cancer and human tonsil |
|
IHC Recommend dilution: |
40-250 |
|
WB Predicted band size: |
43 kDa |
|
WB Positive control: |
HEPG2 and NIH/3T3 cell lysates |
|
WB Recommended dilution: |
1000-5000 |


購物車
幫助
021-54845833/15800441009
