|
Background: |
Transcriptional corepressor that binds to a number of transcription factors. Inhibits NF-kappa-B-regulated gene expression. Inhibits the transcriptional activation mediated by FOXA2, and by CTNNB1 and TCF family members in Wnt signaling. The effects of full-length TLE family members may be modulated by association with dominant-negative AES. Unusual function as coactivator for ESRRG. |
|
Applications: |
ELISA, WB, IHC |
|
Name of antibody: |
TLE1 |
|
Immunogen: |
Fusion protein of human TLE1 |
|
Full name: |
transducin like enhancer of split 1 |
|
Synonyms: |
ESG; ESG1; GRG1 |
|
SwissProt: |
Q04724 |
|
ELISA Recommended dilution: |
5000-10000 |
|
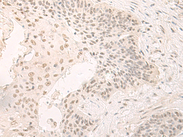
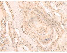
IHC positive control: |
Human cervical cancer |
|
IHC Recommend dilution: |
30-150 |
|
WB Predicted band size: |
83 kDa |
|
WB Positive control: |
Human fetal liver tissue lysate |
|
WB Recommended dilution: |
200-1000 |


購物車
幫助
021-54845833/15800441009
