|
Background: |
Candidate gene for the Cat Eye Syndrome (CES), a developmental disorder associated with the duplication of a 2 Mb region of 22q11.2. Duplication usually takes in the form of a surpernumerary bisatellited isodicentric chromosome, resulting in four copies of the region (represents an inv dup(22)(q11)). CES is characterized clinically by the combination of coloboma of the iris and anal atresia with fistula, downslanting palpebral fissures, preauricular tags and/or pits, frequent occurrence of heart and renal malformations, and normal or near-normal mental development. |
|
Applications: |
ELISA, WB, IHC |
|
Name of antibody: |
TMEM121B |
|
Immunogen: |
Synthetic peptide of human TMEM121B |
|
Full name: |
transmembrane protein 121B |
|
Synonyms: |
CECR6 |
|
SwissProt: |
Q9BXQ6 |
|
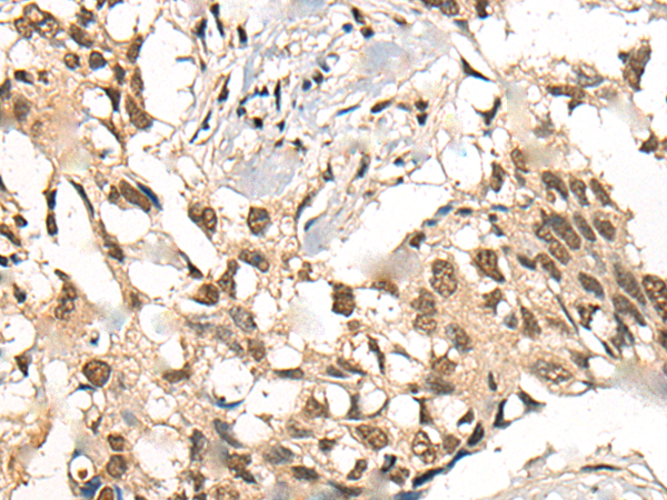
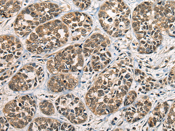
IHC positive control: |
Human esophagus cancer and Human lung cancer |
|
IHC Recommend dilution: |
20-100 |
|
WB Predicted band size: |
58 kDa |
|
WB Positive control: |
Human heart tissue lysate |
|
WB Recommended dilution: |
200-1000 |


購(gòu)物車
幫助
021-54845833/15800441009
