|
Background: |
Troponin (Tn), a key protein complex in the regulation of striated muscle contraction, is composed of 3 subunits. The Tn-I subunit inhibits actomyosin ATPase, the Tn-T subunit binds tropomyosin and Tn-C, while the Tn-C subunit binds calcium and overcomes the inhibitory action of the troponin complex on actin filaments. The protein encoded by this gene is the Tn-C subunit. |
|
Applications: |
ELISA, WB, IHC |
|
Name of antibody: |
TNNC2 |
|
Immunogen: |
Fusion protein of human TNNC2 |
|
Full name: |
troponin C2, fast skeletal type |
|
SwissProt: |
P02585 |
|
ELISA Recommended dilution: |
5000-10000 |
|
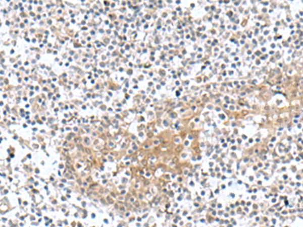
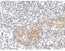
IHC positive control: |
Human tonsil |
|
IHC Recommend dilution: |
50-100 |
|
WB Predicted band size: |
18 kDa |
|
WB Positive control: |
Human muscle tissue lysate |
|
WB Recommended dilution: |
500-2000 |

購物車
幫助
021-54845833/15800441009
