|
Background: |
Troponin I (TnI), along with troponin T (TnT) and troponin C (TnC), is one of 3 subunits that form the troponin complex of the thin filaments of striated muscle. TnI is the inhibitory subunit; blocking actin-myosin interactions and thereby mediating striated muscle relaxation. The TnI subfamily contains three genes: TnI-skeletal-fast-twitch, TnI-skeletal-slow-twitch, and TnI-cardiac. This gene encodes the TnI-cardiac protein and is exclusively expressed in cardiac muscle tissues. Mutations in this gene cause familial hypertrophic cardiomyopathy type 7 (CMH7) and familial restrictive cardiomyopathy (RCM). |
|
Applications: |
ELISA, WB, IHC |
|
Name of antibody: |
TNNI3 |
|
Immunogen: |
Fusion protein of human TNNI3 |
|
Full name: |
troponin I type 3 (cardiac) |
|
Synonyms: |
CMH7; RCM1; cTnI; CMD2A; TNNC1; CMD1FF |
|
SwissProt: |
P19429 |
|
ELISA Recommended dilution: |
2000-5000 |
|
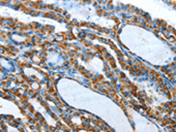
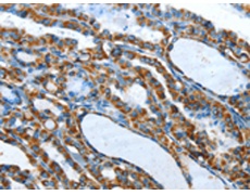
IHC positive control: |
Human thyroid cancer and human breast cancer |
|
IHC Recommend dilution: |
25-100 |
|
WB Predicted band size: |
24 kDa |
|
WB Positive control: |
Mouse heart tissue |
|
WB Recommended dilution: |
200-1000 |

購物車
幫助
021-54845833/15800441009
