|
Background: |
This gene encodes a member of the TNF receptor associated factor (TRAF) family. TRAF proteins are associated with, and mediate signal transduction from members of the TNF receptor superfamily. The encoded protein has been shown to interact with neurotrophin receptor, p75 (NTR/NTSR1), and negatively regulate NTR induced cell death and NF-kappa B activation. This protein has been found to bind to p47phox, a cytosolic regulatory factor included in a multi-protein complex known as NAD(P)H oxidase. This protein thus, is thought to be involved in the oxidative activation of MAPK8/JNK. Alternatively spliced transcript variants have been observed but the full-length nature of only one has been determined. |
|
Applications: |
ELISA, IHC |
|
Name of antibody: |
TRAF4 |
|
Immunogen: |
Fusion protein of human TRAF4 |
|
Full name: |
TNF receptor associated factor 4 |
|
Synonyms: |
CART1; MLN62; RNF83 |
|
SwissProt: |
Q9BUZ4 |
|
ELISA Recommended dilution: |
5000-10000 |
|
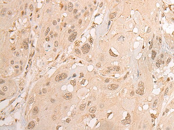
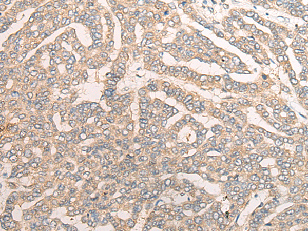
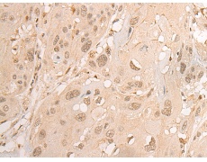
IHC positive control: |
Human liver cancer and Human esophagus cancer |
|
IHC Recommend dilution: |
25-100 |

購物車
幫助
021-54845833/15800441009
