中文名稱:兔抗ARID2多克隆抗體
|
Background: |
ARID2 is a subunit of the PBAF chromatin-remodeling complex (see BAF180; MIM 606083), which facilitates ligand-dependent transcriptional activation by nuclear receptors. Involved in transcriptional activation and repression of select genes by chromatin remodeling (alteration of DNA-nucleosome topology). Required for the stability of the SWI/SNF chromatin remodeling complex SWI/SNF-B (PBAF). |
|
Applications: |
ELISA, WB, IHC |
|
Name of antibody: |
ARID2 |
|
Immunogen: |
Synthetic peptide of human ARID2 |
|
Full name: |
AT rich interactive domain 2 (ARID, RFX-like) |
|
Synonyms: |
p200; BAF200 |
|
SwissProt: |
Q68CP9 |
|
ELISA Recommended dilution: |
5000-10000 |
|
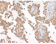
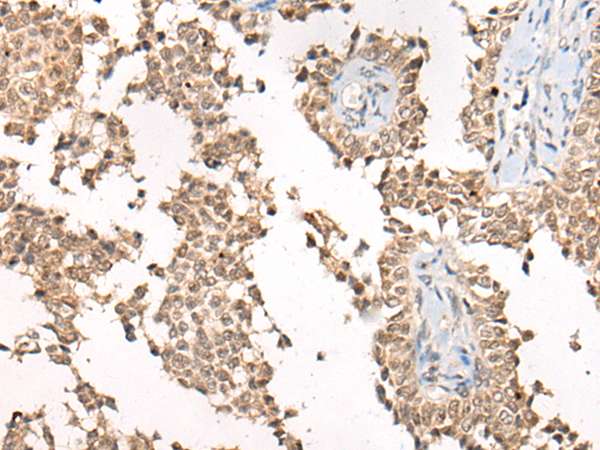
IHC positive control: |
Human thyroid cancer and human ovarian cancer |
|
IHC Recommend dilution: |
25-100 |
|
WB Predicted band size: |
197 kDa |
|
WB Positive control: |
TM4 cell |
|
WB Recommended dilution: |
200-1000 |
購(gòu)物車
幫助
021-54845833/15800441009
