中文名稱: 兔抗ARL2BP多克隆抗體
|
Background: |
ADP-ribosylation factor (ARF)-like proteins (ARLs) comprise a functionally distinct group of the ARF family of RAS-related GTPases. The protein encoded by this gene binds to ARL2.GTP with high affinity but does not interact with ARL2.GDP, activated ARF, or RHO proteins. The lack of detectable membrane association of this protein or ARL2 upon activation of ARL2 is suggestive of actions distinct from those of the ARFs. This protein is considered to be the first ARL2-specific effector identified, due to its interaction with ARL2.GTP but lack of ARL2 GTPase-activating protein activity. |
|
Applications: |
ELISA, IHC |
|
Name of antibody: |
ARL2BP |
|
Immunogen: |
Fusion protein of human ARL2BP |
|
Full name: |
ADP ribosylation factor like GTPase 2 binding protein |
|
Synonyms: |
BART; RP66; BART1 |
|
SwissProt: |
Q9Y2Y0 |
|
ELISA Recommended dilution: |
5000-10000 |
|
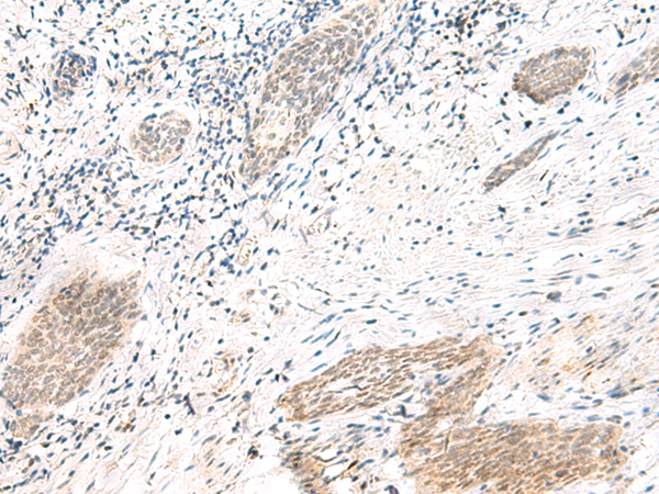
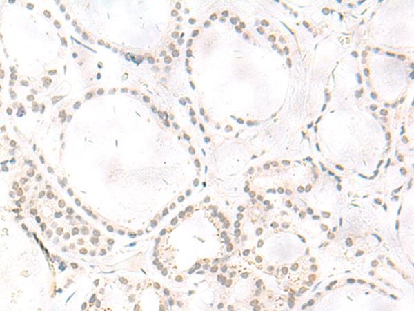
IHC positive control: |
Human esophagus cancer and Human thyroid cancer |
|
IHC Recommend dilution: |
20-100 |
購物車
幫助
021-54845833/15800441009
