中文名稱:兔抗ARL4D多克隆抗體
|
Background: |
ADP-ribosylation factor 4D is a member of the ADP-ribosylation factor family of GTP-binding proteins. ARL4D is closely similar to ARL4A and ARL4C and each has a nuclear localization signal and an unusually high guanine nucleotide exchange rate. This protein may play a role in membrane-associated intracellular trafficking. Mutations in this gene have been associated with Bardet-Biedl syndrome (BBS). |
|
Applications: |
ELISA, IHC |
|
Name of antibody: |
ARL4D |
|
Immunogen: |
Fusion protein of human ARL4D |
|
Full name: |
ADP ribosylation factor like GTPase 4D |
|
Synonyms: |
ARL6; ARF4L |
|
SwissProt: |
P49703 |
|
ELISA Recommended dilution: |
5000-10000 |
|
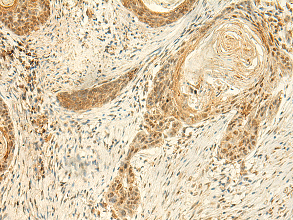
IHC positive control: |
Human tonsil and Human esophagus cancer |
|
IHC Recommend dilution: |
50-300 |
購物車
幫助
021-54845833/15800441009
