中文名稱:兔抗BCL2(Phospho-Ser70)多克隆抗體
|
Background: |
This gene encodes an integral outer mitochondrial membrane protein that blocks the apoptotic death of some cells such as lymphocytes. Constitutive expression of BCL2, such as in the case of translocation of BCL2 to Ig heavy chain locus, is thought to be the cause of follicular lymphoma. Two transcript variants, produced by alternate splicing, differ in their C-terminal ends. |
|
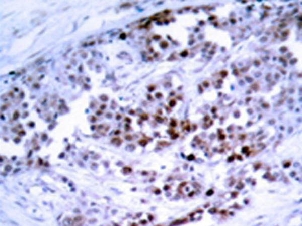
Applications: |
IHC |
|
Name of antibody: |
BCL2(Phospho-Ser70) |
|
Immunogen: |
Peptide sequence around phosphorylation site of serine 70(R-T-S(p)-P-L) derived from Human BCL-2. |
|
Full name: |
B-cell CLL/lymphoma 2 |
|
Synonyms: |
Bcl-2; PPP1R50 |
|
SwissProt: |
P10415 |
|
IHC positive control: |
Human breast carcinoma tissue |
|
IHC Recommend dilution: |
50-100 |

購物車
幫助
021-54845833/15800441009
