中文名稱:兔抗BLNK多克隆抗體
|
Background: |
This gene encodes a cytoplasmic linker or adaptor protein that plays a critical role in B cell development. This protein bridges B cell receptor-associated kinase activation with downstream signaling pathways, thereby affecting various biological functions. The phosphorylation of five tyrosine residues is necessary for this protein to nucleate distinct signaling effectors following B cell receptor activation. Mutations in this gene cause hypoglobulinemia and absent B cells, a disease in which the pro- to pre-B-cell transition is developmentally blocked. Deficiency in this protein has also been shown in some cases of pre-B acute lymphoblastic leukemia. Alternatively spliced transcript variants have been found for this gene. |
|
Applications: |
ELISA, IHC |
|
Name of antibody: |
BLNK |
|
Immunogen: |
Fusion protein of human BLNK |
|
Full name: |
B-cell linker |
|
Synonyms: |
bca; AGM4; BASH; LY57; SLP65; BLNK-S; SLP-65 |
|
SwissProt: |
Q8WV28 |
|
ELISA Recommended dilution: |
5000-10000 |
|
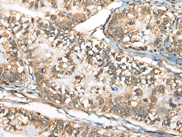
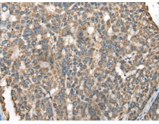
IHC positive control: |
Human liver cancer and human gastric cancer |
|
IHC Recommend dilution: |
50-300 |
購(gòu)物車
幫助
021-54845833/15800441009
