中文名稱:兔抗BRAF(Phospho-Thr599) 多克隆抗體
|
Background: |
This gene encodes a protein belonging to the raf/mil family of serine/threonine protein kinases. This protein plays a role in regulating the MAP kinase/ERKs signaling pathway, which affects cell division, differentiation, and secretion. Mutations in this gene are associated with cardiofaciocutaneous syndrome, a disease characterized by heart defects, mental retardation and a distinctive facial appearance. Mutations in this gene have also been associated with various cancers, including non-Hodgkin lymphoma, colorectal cancer, malignant melanoma, thyroid carcinoma, non-small cell lung carcinoma, and adenocarcinoma of lung. |
|
Applications: |
IHC |
|
Name of antibody: |
BRAF(Phospho-Thr599) |
|
Immunogen: |
Peptide sequence around phosphorylation site of threonine 599 (L-A-T(p)-V-K) derived from Human B-RAF. |
|
Full name: |
B-Raf proto-oncogene, serine/threonine kinase |
|
Synonyms: |
NS7; BRAF1; RAFB1; B-RAF1 |
|
SwissProt: |
P15056 |
|
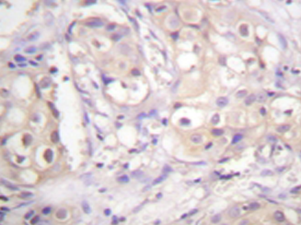
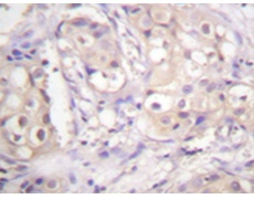
IHC positive control: |
Human breast carcinoma tissue |
|
IHC Recommend dilution: |
50-100 |

購物車
幫助
021-54845833/15800441009
