中文名稱:兔抗BRINP1多克隆抗體
|
Background: |
This gene is located within a chromosomal region that shows loss of heterozygosity in some bladder cancers. It contains a 5' CpG island that may be a frequent target of hypermethylation, and it may undergo hypermethylation-based silencing in some bladder cancers. |
|
Applications: |
ELISA, IHC |
|
Name of antibody: |
BRINP1 |
|
Immunogen: |
Fusion protein of human BRINP1 |
|
Full name: |
bone morphogenetic protein/retinoic acid inducible neural-specific 1 |
|
Synonyms: |
DBC1; FAM5A; DBCCR1 |
|
SwissProt: |
O60477 |
|
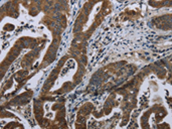
IHC positive control: |
Human gastric cancer and human colon cancer |
|
IHC Recommend dilution: |
50-200 |

購物車
幫助
021-54845833/15800441009
