中文名稱:兔抗BRSK2多克隆抗體
|
Background: |
BRSK2 (BR serine/threonine kinase 2), also known as SAD1, STK29 or PEN11B, is a 736 amino acid protein that contains one protein kinase domain and is preferentially expressed in brain and testis. One of several members of the Ser/Thr protein kinase family, BRSK2 uses magnesium as a cofactor to catalyze the ATP-dependent phosphorylation of target proteins and is thought to be involved in microtubule assembly, neuronal polarization and synaptic development. Additionally, BRSK2 may function as an autoantigen involved in small-cell lung cancer-associated limbic encephalitis. Five isoforms of BRSK2 exist due to alternative splicing events. |
|
Applications: |
ELISA, IHC |
|
Name of antibody: |
BRSK2 |
|
Immunogen: |
Synthetic peptide of human BRSK2 |
|
Full name: |
BR serine/threonine kinase 2 |
|
Synonyms: |
SAD1; SADA; STK29; PEN11B; C11orf7 |
|
SwissProt: |
Q8IWQ3 |
|
ELISA Recommended dilution: |
5000-10000 |
|
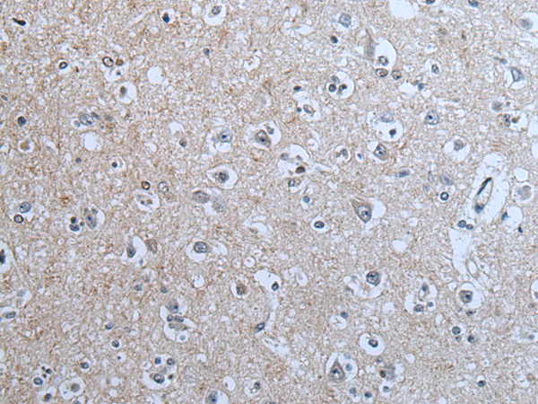
IHC positive control: |
Human brain |
|
IHC Recommend dilution: |
40-200 |

購物車
幫助
021-54845833/15800441009
