|
Background: |
BTBD6 (BTB/POZ domain-containing protein 6), also known as BDPL or lens BTB domain protein, is a 410 amino acid protein that contains one BTB/POZ domain and is specifically expressed in the lens. The BTB/POZ domain mediates homomeric and heteromeric POZ-POZ interactions and is common to transcriptional regulators involved in chromatin modeling. In several BTB/POZ containing proteins, including BCL-6 and the promyelocytic leukemia zinc-finger (PLZF) oncoprotein, this domain interacts with the SMRT/N-CoR-mSin3A HDAC complex and is directly involved in repressing and silencing gene transcription. When this domain is deleted, as with the oncogenic PLZF-RAR chimera of promyelocytic leukemias, this transcriptional repression is attenuated. This suggests that BTBD6 may play a role in transcription regulation in the lens. |
|
Applications: |
ELISA, WB, IHC |
|
Name of antibody: |
BTBD6 |
|
Immunogen: |
Synthetic peptide of human BTBD6 |
|
Full name: |
BTB domain containing 6 |
|
Synonyms: |
BDPL |
|
SwissProt: |
Q96KE9 |
|
ELISA Recommended dilution: |
5000-10000 |
|
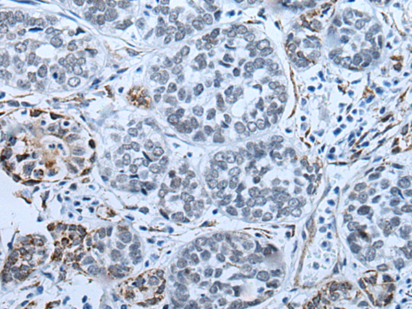
IHC positive control: |
Human esophagus cancer |
|
IHC Recommend dilution: |
10-50 |
|
WB Predicted band size: |
53 kDa |
|
WB Positive control: |
Human gastric carcinoma tissue lysate |
|
WB Recommended dilution: |
200-1000 |


購物車
幫助
021-54845833/15800441009
