中文名稱:兔抗C1QB多克隆抗體
|
Background: |
This gene encodes a major constituent of the human complement subcomponent C1q. C1q associates with C1r and C1s in order to yield the first component of the serum complement system. Deficiency of C1q has been associated with lupus erythematosus and glomerulonephritis. C1q is composed of 18 polypeptide chains: six A-chains, six B-chains, and six C-chains. Each chain contains a collagen-like region located near the N terminus and a C-terminal globular region. |
|
Applications: |
WB, IHC |
|
Name of antibody: |
C1QB |
|
Immunogen: |
Fusion protein of human C1QB |
|
Full name: |
complement component 1, q subcomponent, B chain |
|
SwissProt: |
P02746 |
|
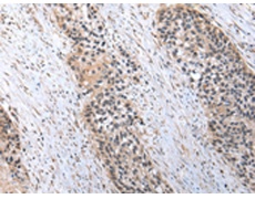
IHC positive control: |
Human esophagus cancer |
|
IHC Recommend dilution: |
10-50 |
|
WB Predicted band size: |
27 kDa |
|
WB Positive control: |
Mouse plasma tissue |
|
WB Recommended dilution: |
500-2000 |


購物車
幫助
021-54845833/15800441009
