中文名稱: 兔抗CALB2多克隆抗體
|
Background: |
This gene encodes an intracellular calcium-binding protein belonging to the troponin C superfamily. Members of this protein family have six EF-hand domains which bind calcium. This protein plays a role in diverse cellular functions, including message targeting and intracellular calcium buffering. It also functions as a modulator of neuronal excitability, and is a diagnostic marker for some human diseases, including Hirschsprung disease and some cancers. Alternative splicing results in multiple transcript variants. |
|
Applications: |
ELISA, WB, IHC |
|
Name of antibody: |
CALB2 |
|
Immunogen: |
Synthetic peptide of human CALB2 |
|
Full name: |
calbindin 2 |
|
Synonyms: |
CR; CAL2; CAB29 |
|
SwissProt: |
P22676 |
|
ELISA Recommended dilution: |
1000-2000 |
|
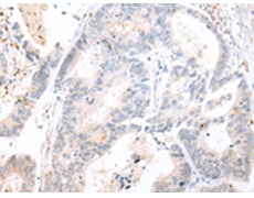
IHC positive control: |
Human colorectal cancer |
|
IHC Recommend dilution: |
10-50 |
|
WB Predicted band size: |
32 kDa |
|
WB Positive control: |
293T cell |
|
WB Recommended dilution: |
200-1000 |
購物車
幫助
021-54845833/15800441009
